Nunca mais

tenha vergonha

de sorrir!

Oferecemos os principais

tratamentos para transformar

o seu sorriso, Desde prevenção

à cirurgias avançadas

Especialidades

Quem sou eu?

Me chamo Carla Freitas Neiva, Graduada em Odontologia, com especialização em ortodontia, atualização em cirurga oral menor, atualização em canal. Com +10 anos de profissão, já passei por empresas renomadas em Irecê, e hoje atendo no meu consultório próprio em Barra do Mendes.

+904

Pacientes

+10

Anos de

experiência

Clientes

em +10

cidades

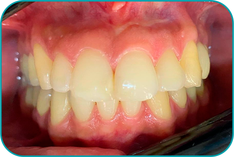
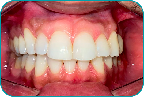
Veja alguns dos nossos resultados

O que nossos pacientes dizem?

Nossa Localização

Av. Alberic Campos de Oliveira, 438 – centro, Barra do Mendes – BA, 44990-000